Welcome to Aditya Orthopaedics Clinic

Health Information Repository

Find reliable health information, FAQs & resources on topics of your interest

Showing topics for - Joint Replacement

Frozen Shoulder Treatment in Indirapuram, Ghaziabad | Dr. Nitin Srivastava
Frozen Shoulder, medically known as Adhesive Capsulitis, is a painful and disabling condition that causes stiffness, restricted movement, and chron...
Dr. Nitin Srivastava
Say Goodbye to Knee Pain | Dr. Nitin Srivastava
Are you struggling with knee pain that’s limiting your daily activities, keeping you from enjoying the things you love, or making simple move...
Dr. Nitin Srivastava
Knee Arthroscopy
Knee Arthroscopy
Dr. Nitin Srivastava Dr. Nitin Srivastava is amongst the best doctors in Indrapuram, Ghaziabad who is specialized in Orthopaedics, Joint Replacem...
Dr Nitin Srivastava
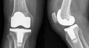
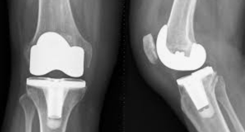
Knee Replacement
Total Knee Replacement
  Dr. Nitin Srivastava Dr. Nitin Srivastava is amongst the best doctors in Indrapuram, Ghaziabad who is specialized in Orthopaedics, Joint R...
Dr Nitin srivastava
?
Ask Question
AboutMyClinic
SmartSite created on AboutMyClinic.com
Site-Help | Disclaimer
Disclaimer: The information provided here should not be used during any medical emergency or for the diagnosis or treatment of any medical condition. The information is provided solely for educational purpose and should not be considered a substitute for medical advice.